Un modelo IA facilita el diagnóstico de enfermedades pulmonares

ndh
By ndh
4 Min Read

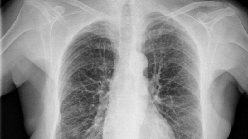
Sevilla/Investigadores andaluces han desarrollado un modelo inteligente que facilita el diagnóstico temprano de enfermedades pulmonares, un proyecto basado en IA que detecta de manera automática posibles alteraciones en radiografías de tórax.

Este avance se enmarca en un proyecto de I+D financiado por la Junta y que ha impulsado un equipo de investigación de la Universidad de Cádiz y del Hospital Universitario Puerta del Mar.

Investigadores de los dos centros han desarrollado un modelo basado en IA que mejora la detección automática de posibles alteraciones en radiografías de tórax, una herramienta que se presenta como un aliado rápido y preciso para neumólogos y radiólogos en el diagnóstico de enfermedades pulmonares.

Algunas anomalías que se producen en el pulmón con patologías como la silicosis se presentan de forma sutil en sus fases iniciales, lo que puede dar lugar a interpretaciones clínicas diferentes.

El estudio, que publica la revista Expert Systems with Applications, explica cómo expertos en neumología e inteligencia artificial han evaluado un nuevo modelo, denominado Mamba-YOLOvX, que permite localizar lesiones de diversos tamaños de forma rápida y efectiva gracias a algoritmos de aprendizaje automático que utilizan una arquitectura conocida como redes neuronales convolucionales.


“En muchas ocasiones, algunas lesiones pulmonares pueden pasar desapercibidas en los exámenes radiológicos”

Así, el sistema aprende a reconocer y diferenciar objetos analizando miles de imágenes para entrenar a la IA con miles de radiografías diferentes.

“En muchas ocasiones, algunas lesiones pulmonares pueden pasar desapercibidas en los exámenes radiológicos, dada la gran dificultad en la interpretación de esta modalidad de imagen médica”, ha explicado el investigador de la Universidad de Cádiz Daniel Sánchez Morillo, coautor del artículo.

Ha añadido que los resultados obtenidos con el modelo han supuesto una mejora en la precisión de diagnóstico con respecto a otros métodos desarrollados recientemente, especialmente cuando se trata de lesiones pequeñas.

El sistema incorpora mecanismos de atención espacial y de canal, que funcionan como filtros inteligentes capaces de concentrarse sólo en las zonas relevantes de la radiografía y en las características más útiles, ignorando lo que no aporta información.

También incluye bloques de escaneo selectivo, que analizan la imagen en distintas resoluciones y permiten identificar lesiones muy pequeñas, que suelen pasar desapercibidas.

Para una mejora en el entrenamiento del modelo, se han empleado datos de distintos centros hospitalarios y una estrategia conocida como aumento de datos, en las que se segmentan las costillas y se alinean puntos clave del tórax para generar nuevas imágenes homogéneas desde una perspectiva anatómica.

El trabajo forma parte del proyecto PEOPLE, una iniciativa centrada en el desarrollo de herramientas avanzadas de inteligencia artificial capaces de dar soporte para mejorar el diagnóstico temprano y la predicción del pronóstico de la silicosis. 

DERECHOS DE AUTOR
Esta información pertenece a su autor original y se encuentra en el sitio https://www.14ymedio.com/internacional/desarrollan-modelo-inteligente-facilita-diagnostico_1_1120460.html

Share This Article